Knee Replacement

knee replacement Chhabra Hospital

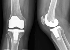
Knee replacement surgery — also known as knee arthroplasty (ARTH-row-plas-tee) — can help relieve pain and restore function in severely diseased knee joints. During knee replacement, a surgeon cuts away damaged bone and cartilage from your thighbone, shinbone and kneecap and replaces it with an artificial joint made of metal alloys, high-grade plastics and polymers.

The first artificial knees were little more than crude hinges. Now, you and your doctor can choose from a variety of designs that take into account your age, weight, activity level and overall health. Most knee replacement joints attempt to act like your knee, with its ability to roll and glide as it bends.

Knee replacement surgery (arthroplasty) involves replacing a damaged, worn or diseased knee with an artificial joint.

It's a routine operation for knee pain most commonly caused by arthritis.

More than 70,000 knee replacements are carried out in England and Wales each year, and the number is rising. Most people who have a total knee replacement are over 65 years old.

For most people, a replacement knee lasts over 20 years, especially if the new knee is cared for properly and not put under too much strain.

knee replacement Chhabra Hospital

Types of surgery

There are two main types of surgery, depending on the condition of the knee:

  1. total knee replacement (TKR) – both sides of your knee joint are replaced
  2. partial (half) knee replacement (PKR) – only one side of your joint is replaced in a smaller operation with a shorter hospital stay and recovery period

Learn more in how knee replacement surgery is performed.

Why is knee replacement surgery needed?

The most common reason for knee replacement surgery is osteoarthritis. Other conditions that cause knee damage include:

  1. rheumatoid arthritis
  2. haemophilia
  3. gout
  4. knee injury

A knee replacement is major surgery, so is normally only recommended if other treatments, such as physiotherapy or steroid injections, haven't helped reduce pain or improve mobility.

knee replacement Chhabra Hospital

You may be offered knee replacement surgery if:

  1. you have severe pain, swelling and stiffness in your knee joint and your mobility is reduced
  2. your knee pain is so severe that it interferes with your quality of life and sleep
  3. everyday tasks, such as shopping or getting out of the bath, are difficult or impossible
  4. you cannot work or have a normal social life

Learn more in why knee replacement surgery is used.

Can I have knee replacement surgery?

Adults of any age can be considered for a knee replacement, although it's typically recommended for older people as young, physically active people are more likely to wear the joint out.

The earlier you have a knee replacement, the greater the chance you will eventually need further surgery. However, there is some evidence that replacing the knee joint before it becomes very stiff leads to a better outcome.

knee replacement Chhabra Hospital

Most total knee replacements are carried out on people between the ages of 60 and 80. You will need to be well enough to cope with both a major operation and the rehabilitation afterwards. Read more aboutgetting ready for knee replacement surgery and recovering from knee replacement surgery.

Are there any risks?

Knee replacement surgery is a common operation and most people do not experience complications. However, as with any operation, there are risks as well as benefits.

Complications are rare but can include:

  1. stiffness of the knee
  2. infection of the wound
  3. deep infection of the joint replacement, needing further surgery 
  4. unexpected bleeding into the knee joint
  5. ligament, artery or nerve damage in the area around the knee joint
  6. blood clots or deep vein thrombosis (DVT)
  7. persistent pain the in the knee

In some cases, the new knee joint may not be completely stable and further surgery may be needed to correct it.


card Image

Dr. Vikas Chhabra

Dr. Vikas Chhabra is Specialist in General Surgery & have 22 Yrs Experience in General, Laproscopic, Endourology, Plastic & Laser Surgeries.

View More
card Image

Dr. Kiran Chhabra

Dr. Kiran Chhabra is famous Consultant of IVF, She is Specialist in Gynaecology & practicing Gynae, Obs & Infertility since 2003.

View More
card Image

Dr. Aman Chhabra

Dr. Aman Chhabra is famous Orthopedic Surgeon, He is Specialist in Ortho, Hand Surgery & Joint Replacement and have more than 15 Yrs Experience.

View More

Our TPA Partners

Chhabra Hospital & Test Tube Baby Centre Bathinda Chhabra Hospital & Test Tube Baby Centre Bathinda Chhabra Hospital & Test Tube Baby Centre Bathinda Chhabra Hospital & Test Tube Baby Centre Bathinda Chhabra Hospital & Test Tube Baby Centre Bathinda Chhabra Hospital & Test Tube Baby Centre Bathinda Chhabra Hospital & Test Tube Baby Centre Bathinda Chhabra Hospital & Test Tube Baby Centre Bathinda Chhabra Hospital & Test Tube Baby Centre Bathinda Chhabra Hospital & Test Tube Baby Centre Bathinda Chhabra Hospital & Test Tube Baby Centre Bathinda Chhabra Hospital & Test Tube Baby Centre Bathinda Chhabra Hospital & Test Tube Baby Centre Bathinda Chhabra Hospital & Test Tube Baby Centre Bathinda Chhabra Hospital & Test Tube Baby Centre Bathinda Chhabra Hospital & Test Tube Baby Centre Bathinda Chhabra Hospital & Test Tube Baby Centre Bathinda Chhabra Hospital & Test Tube Baby Centre Bathinda

Our Services


Test Tube Baby Centre
Operation Theatre
Ventilator
ICU
OPD
Ultrasound
Colour Doppler
Laboratory
Patient Rooms
Pharmacy
24 Hours Service

Location

Address


Chhabra Hospital &
Test Tube Baby Centre
Near Stadium,
80 Feet Road,
Bathinda (Punjab)
Pin: 151001


© 2022 Chhabra Hospital | All Rights Reserved
No. of Visitors : Website Hit Counter